7 anatomical regions, each with a curated library of orthopaedic conditions written for clinicians. Pick a region to see its full condition list.
The largest synovial joint in the body, bearing the full line of body weight through flexion and extension. Central to ligamentous, meniscal, and degenerative pathology in sport and daily life.
A deep ball-and-socket articulation that transmits loads from the axial skeleton to the lower limb. Home to a spectrum of disease from dysplasia in infancy through osteoarthritis in later life.
The most mobile joint in the human body, built on soft-tissue stability. Rotator cuff, capsular, and instability conditions dominate its pathology.
A thirty-three vertebra column protecting the neuraxis and supporting posture. Degenerative disc disease, stenosis, deformity, and myelopathy define its clinical workload.
Twenty-six bones and thirty-three joints per foot articulate with the tibia and fibula at the ankle, absorbing impact and propelling gait. A busy zone for overuse, tendon, and forefoot disease.
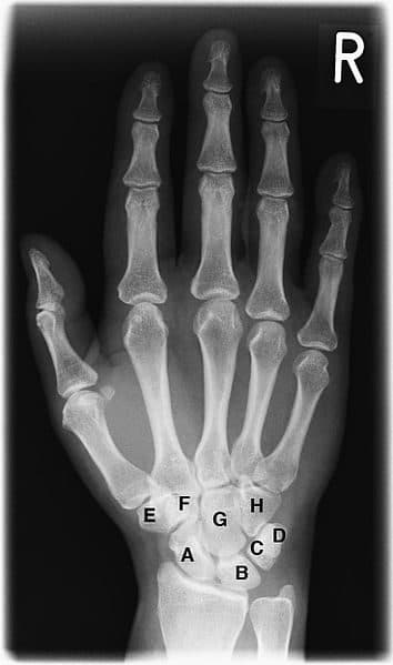
A complex of twenty-seven bones and intricate tendons enabling fine motor control. Compressive neuropathies and tenosynovitis lead the presentation list.
A hinge joint linking the humerus with the radius and ulna, vulnerable to overuse tendinopathies and bursal inflammation through repetitive work and sport.