Ortho Globe
Empowering Excellence, Enhancing Outcomes
Where global collaboration meets cutting-edge research, transforming orthopedic, trauma, and care worldwide."
Ortho Globe
Unifying Expertise, Elevating Care
Bridging borders, sharing insights, and shaping the future of musculoskeletal health on a global scale."
Ortho Globe
"Empowering Patients, Embracing Healing"
Ortho Globe: Providing patients with trusted information and support for their musculoskeletal journey, every step of the way."
Learn About Treatment For
Explore Scientific Solutions and Approaches

About Ortho Globe
We Take Care of Your Problems Carefully
Ortho Globe – Global Orthopaedic Outcomes Collaborative
An international Orthopaedic, trauma and rheumatological research collaborative that aims at advancing musculoskeletal practice through international multicentre studies.
The initiative is founded by Professor Mohamed A. Imam and other eminent surgeons globally.
- The Framework of the global collaborative
- Collaborative authorship model
- An international network of professional orthopedic surgeons
Find information
by body part
Click on your pain area
Our curated themes, organized by body parts, offer tailored knowledge for effective bone health management. Access valuable insights for optimal wellness.

Expand your knowledge and evaluate your treatment
- All Posts
- Exercises
- Information for professionals
- Patient information
- Back
- Neck
- Shoulder
- Hand and wrist
- Elbow
- Spinal
- Hip
- knee
- Foot & Ankle
- General Advices
- Arm
- Back
- Neck.
- Shoulder.
- Elbow.
- Hand and wrist.
- knee.
- Hip.
- Foot and ankle.
- Spinal.
- General
- Arm
Definition The Triangular Fibrocartilage Complex (TFCC) is a crucial structure on the ulnar side of the wrist with several important roles: Extending the gliding surface of the radiocarpal joint Cushioning and stabilizing the ulnar carpus Stabilizing the distal radioulnar joint…
Definition An Essex-Lopresti injury, or longitudinal radioulnar dissociation (LRUD), occurs when a violent compressive load to the wrist results in a triad of injuries: disruption of the distal radioulnar joint (DRUJ), tear of the interosseous ligament complex (IOLC), and fracture…
What is Ulnar Collateral Ligament (UCL) Reconstruction? UCL reconstruction is a surgical procedure to repair the ulnar collateral ligament, a key stabiliser on the inner side of the elbow. This ligament is crucial for elbow stability, particularly in athletes who…
What is Lateral Collateral Ligament (LCL) Reconstruction? Lateral collateral ligament (LCL) reconstruction is a surgical procedure aimed at repairing or reconstructing the LCL complex of the elbow. This ligament is crucial for maintaining elbow stability, particularly in preventing posterolateral rotatory…
What are Metacarpal Fractures? Metacarpal fractures refer to breaks in the bones of the hand that form the base of the fingers. These fractures can occur at the base, shaft, neck, or head of the metacarpals, leading to issues like…
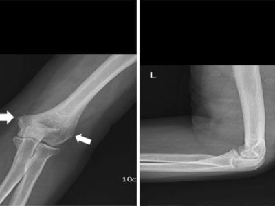
What are Radial Head and Neck Fractures? Radial head and neck fractures are the most common type of elbow fractures in adults, accounting for 33% of all elbow fractures. These fractures can happen on their own or alongside other bone,…
Featured Posts
Most Recent Posts
No Posts Found!
Research and studies
"Explore groundbreaking research and comprehensive studies at OrthoGlobe, advancing musculoskeletal practice worldwide."
Category
Transformative Benefits Offered
Discover the positive impacts of our orthopaedic solutions
Improved Outcomes
Enhancing orthopaedic patient outcomes through collaborative research
Global Reach
Extending musculoskeletal care solutions to a global audience
Innovative Practices
Implementing innovative practices for advanced orthopaedic care

Statistics



Professional Team
Learn more about our experienced surgeons, researchers, and specialists committed to advancing orthopedic practice worldwide

Prof. M. Imam

Atef Abdelrahman Hassan












