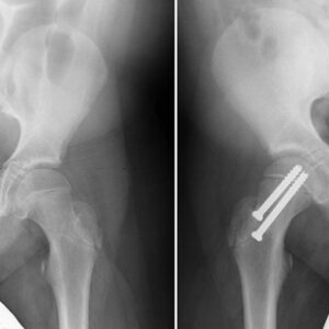
Developmental Dysplasia of the Hip (DDH)
Hip Patient informationOverview Meta Description: Explore an in-depth scientific overview of Developmental Dysplasia of the Hip (DDH), its causes, risk factors, diagnosis, treatment, and long-term outcomes. SEO Keywords: developmental dysplasia of the hip, DDH, congenital hip dislocation, infant hip dysplasia, Pavlik harness, hip surgery, orthopaedics, musculoskeletal disorders Introduction Developmental Dysplasia of the












