Ortho Globe
Empowering Excellence, Enhancing Outcomes
Where global collaboration meets cutting-edge research, transforming orthopedic, trauma, and care worldwide."
Ortho Globe
Unifying Expertise, Elevating Care
Bridging borders, sharing insights, and shaping the future of musculoskeletal health on a global scale."
Ortho Globe
"Empowering Patients, Embracing Healing"
Ortho Globe: Providing patients with trusted information and support for their musculoskeletal journey, every step of the way."
Learn About Treatment For
Explore Scientific Solutions and Approaches

About Ortho Globe
We Take Care of Your Problems Carefully
Ortho Globe – Global Orthopaedic Outcomes Collaborative
An international Orthopaedic, trauma and rheumatological research collaborative that aims at advancing musculoskeletal practice through international multicentre studies.
The initiative is founded by Professor Mohamed A. Imam and other eminent surgeons globally.
- The Framework of the global collaborative
- Collaborative authorship model
- An international network of professional orthopedic surgeons
Find information
by body part
Click on your pain area
Our curated themes, organized by body parts, offer tailored knowledge for effective bone health management. Access valuable insights for optimal wellness.

Expand your knowledge and evaluate your treatment
- All Posts
- Exercises
- Information for professionals
- Patient information
- Back
- Neck
- Shoulder
- Hand and wrist
- Elbow
- Spinal
- Hip
- knee
- Foot & Ankle
- General Advices
- Arm
- Back
- Neck.
- Shoulder.
- Elbow.
- Hand and wrist.
- knee.
- Hip.
- Foot and ankle.
- Spinal.
- General
- Arm
Introduction Arm pain can be debilitating, affecting everything from daily activities to sleep quality. Whether it’s caused by an injury, overuse, or a chronic condition, finding effective relief is crucial for maintaining your quality of life. Massage therapy has emerged…
Introduction Choosing the right orthopaedic specialist for your arm injury is a crucial decision that can significantly impact your recovery and overall health. Whether you’re dealing with a fracture, tendonitis, or a repetitive strain injury, finding a qualified and experienced…
Introduction Repetitive strain injuries (RSIs) are a group of musculoskeletal conditions that arise from overuse of specific muscle groups, tendons, and nerves due to repetitive motion. These injuries are commonly associated with activities that involve continuous, repetitive motion of the…
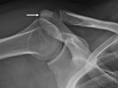
Osacromiale is a condition where the acromion, the prominent bone at the top of your shoulder, fails to fuse fully during development. This bone typically develops from three ossification centers—meta-acromion (base), meso-acromion (middle), and pre-acromion (tip)—which should generally fuse by…
When you’re scheduled for shoulder surgery, one of the most important steps is ensuring you’re in the correct position on the operating table. The way you’re positioned during surgery can have a big impact on the success of the procedure.…
Introduction Arm injuries are common in many sports, particularly those involving repetitive motions or high-impact activities. Preventing these injuries is critical for maintaining athlete performance and long-term joint health. This article will cover key strategies for preventing arm injuries, focusing…
Featured Posts
Most Recent Posts
- All Posts
- Exercises
- Information for professionals
- Patient information
- Back
- Neck
- Shoulder
- Hand and wrist
- Elbow
- Spinal
- Hip
- knee
- Foot & Ankle
- General Advices
- Arm
- Back
- Neck.
- Shoulder.
- Elbow.
- Hand and wrist.
- knee.
- Hip.
- Foot and ankle.
- Spinal.
- General
- Arm
Research and studies
"Explore groundbreaking research and comprehensive studies at OrthoGlobe, advancing musculoskeletal practice worldwide."
Category
Transformative Benefits Offered
Discover the positive impacts of our orthopaedic solutions
Improved Outcomes
Enhancing orthopaedic patient outcomes through collaborative research
Global Reach
Extending musculoskeletal care solutions to a global audience
Innovative Practices
Implementing innovative practices for advanced orthopaedic care

Statistics



Professional Team
Learn more about our experienced surgeons, researchers, and specialists committed to advancing orthopedic practice worldwide

Prof. M. Imam

Atef Abdelrahman Hassan




















