Osacromiale is a condition where the acromion, the prominent bone at the top of your shoulder, fails to fuse fully during development. This bone typically develops from three ossification centers—meta-acromion (base), meso-acromion (middle), and pre-acromion (tip)—which should generally fuse by the age of 25.
However, in about 8% of people, one or more of these centres do not fuse, resulting in what is known as an OsAcromiale. This condition can be associated with shoulder impingement and rotator cuff tendonitis, often causing discomfort and limiting shoulder function.
Epidemiology and Anatomy
- Incidence: OsAcromiale is relatively common, occurring in about 8% of the population. It is often bilateral, affecting both shoulders in 60% of cases.
- Demographics: It is more common in males and is particularly prevalent among African Americans.
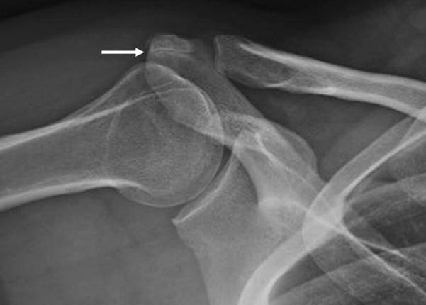
- Anatomic Location: The most common site of non-fusion is between the meso-acromion and meta-acromion, where the middle and base parts of the acromion meet.
Symptoms and Presentation
OsAcromiale can present with various symptoms, though some individuals may remain asymptomatic for years. Common symptoms include:
- Pain: Often related to impingement caused by the unfused fragment. This can occur due to the reduction in subacromial space when the anterior fragment flexes with deltoid contraction during arm elevation. Pain can also arise from movement at the nonunion site (painful synchondrosis).
- Rotator Cuff Tendonitis: Particularly associated with meso-acromion non-fusion, this condition can lead to full-thickness tears in the rotator cuff, further exacerbating shoulder pain and dysfunction.
- Trauma: While OsAcromiale can be an incidental finding, trauma may trigger the onset of symptoms in a previously asymptomatic shoulder.
Diagnosis
Diagnosing OsAcromiale typically involves imaging studies:
- Radiographs: The best initial imaging technique is an axillary lateral X-ray of the shoulder, which can clearly reveal the unfused fragment.
- CT Scans: Indicated to better visualize the nonunion site and to detect any degenerative changes such as cysts, sclerosis, or hypertrophy.
- MRI and Ultrasound: These can also be used to assess associated rotator cuff tears or other soft tissue conditions.
Treatment Options
The treatment of OsAcromiale depends on the severity of symptoms and the impact on shoulder function.
Nonoperative Treatment:
- Observation: Many cases of OsAcromiale, particularly those with mild symptoms, can be managed conservatively.
- NSAIDs and Physiotherapy: Nonsteroidal anti-inflammatory drugs (NSAIDs) and targeted physiotherapy can help alleviate symptoms.
- Subacromial Corticosteroid Injections: These may be used to reduce inflammation and pain, particularly in patients with associated shoulder impingement or tendonitis.
Operative Treatment: Surgery is generally reserved for patients with persistent symptoms that do not respond to conservative management.
- Two-Stage Fusion:- Indications: For symptomatic OsAcromiale with significant impingement.
- Technique: The first stage involves fusing the OsAcromiale, often with the addition of a bone graft. The second stage, if necessary, involves performing an acromioplasty to reshape the acromion and relieve impingement.
- Considerations: Care is taken to preserve the blood supply from the acromiale branch of the thoracoacromial artery. Fixation is usually achieved with tension band wires, sutures, or cannulated screws.
 
- Arthroscopic Subacromial Decompression and Acromioplasty:- Indications: This approach is suitable for impingement with or without a rotator cuff tear, where the OsAcromiale is incidental and not tender.
- Benefits: Arthroscopic procedures are less invasive, with less disruption to the periosteum and deltoid muscle, leading to faster recovery times.
 
- Open or Arthroscopic Fragment Excision:- Indications: Suitable for symptomatic pre-acromion fragments, particularly when they are small. It may also be considered as a salvage procedure after failed open reduction and internal fixation (ORIF).
- Outcomes: Better results are generally achieved with the excision of pre-acromion fragments. However, care must be taken to avoid deltoid dysfunction.
 
Complications and Prognosis
- Deltoid Weakness: This can occur following fragment excision, particularly if the deltoid attachment is disrupted.
- Persistent Pain/Weakness: Despite treatment, some patients may continue to experience pain and weakness.
- Rotator Cuff Repairs: Outcomes are often poorer in patients with a meso-acromion OsAcromiale, particularly if they undergo rotator cuff repair.
OsAcromiale is a condition that can significantly impact shoulder function, particularly if associated with rotator cuff disease or impingement. While many cases can be managed conservatively, surgical intervention may be necessary for patients with persistent symptoms. If you suspect you have OsAcromiale or are experiencing shoulder pain, it’s essential to seek medical advice for an accurate diagnosis and appropriate treatment plan.






