Insights into Olecranon Fractures

Anatomy
- The humerus (upper arm bone)
- The radius (forearm bone on the thumb side)
- The ulna (forearm bone on the pinky side)
- The distal humerus is the lower end of the humerus. It forms the upper part of the elbow and is the spool around which the forearm bends and straightens.
- The radial head is the knobby end of the radius where it meets the elbow. It glides up and down the front of the distal humerus when you bend your arm and rotates around the ulna when you turn your wrist up or down.
- The olecranon is the part of the ulna that cups the lower end of the humerus, creating a hinge for elbow movement. The bony point of the olecranon can easily be felt beneath the skin because it is covered by just a thin layer of tissue.
Description
Cause
- Falling directly on the elbow
- Receiving a direct blow to the elbow from something hard, like a baseball bat, or a dashboard or car door during a vehicle collision.
- Falling on an outstretched arm with the elbow held tightly to brace against the fall. In this situation, the triceps muscle, which attaches to the olecranon, can pull a piece of the bone off of the ulna. Injuries to the ligaments around the elbow may occur with this type of injury, as well.
Symptoms
- Swelling over the tip or back of the elbow.
- Bruising around the elbow. Sometimes, this bruising travels up the arm toward the shoulder or down the forearm toward the wrist.
- Tenderness to the touch.
- Numbness in one or more fingers.
- Pain with movement of the elbow or with rotation of the forearm.
- A feeling of instability in the joint, as if your elbow is going to pop out.
Doctor Examination
Physical Examination
Your doctor will talk with you about your medical history and general health and ask about your symptoms. They will then examine your elbow to determine the extent of the injury. During the exam, your doctor will:
- Check your skin for cuts, swelling, blistering, and bruising. In severe fractures, bone fragments can break through the skin, increasing the risk of infection.
- Palpate (feel) all around your elbow to determine if there are any other areas of tenderness. This could indicate other broken bones or injuries, such as a dislocated elbow.
- Check your pulse at the wrist to ensure that there is good blood flow to your hand and fingers.
- Check to see that you can move your fingers and wrist, and can feel things with your fingers.
Although you may have pain only at the elbow, your doctor may also examine your shoulder, upper arm, forearm, wrist, and hand to ensure that you do not have any other injuries.
X-rays
X-rays provide images of dense structures, such as bones. Your doctor will order X-rays of your elbow to help diagnosis your fracture. Depending on your symptoms, the doctor may also order X-rays of your upper arm, forearm, shoulder, wrist, and/or hand to determine whether you have other injuries.
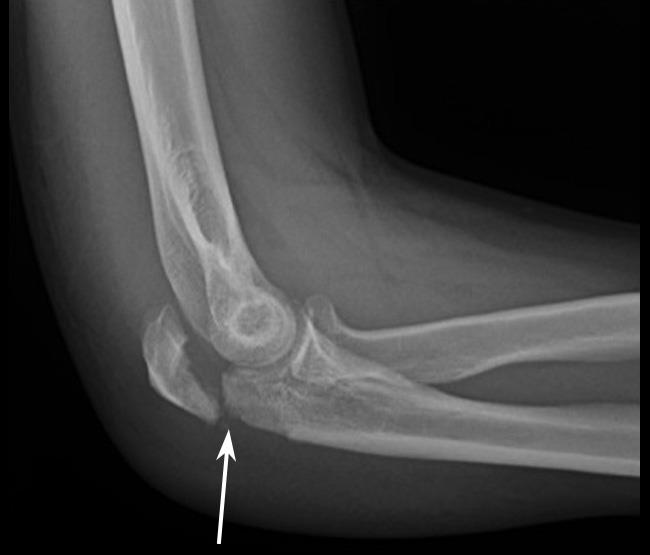
This X-ray taken from the side shows an olecranon fracture in which the pieces of bone have moved out of place (displaced).Reproduced from Konda SR: Fractures around the elbow, in Egol KA, Gardner MJ, eds: Let's Discuss Management of Common Fractures. Rosemont, IL, American Academy of Orthopaedic Surgeons, 2016, pp. 17-30.
Treatment
While you are in the emergency room, your doctor will apply a splint (like a cast) to your elbow, and give you a sling to help keep the elbow in position. Immediate treatment may also include:- Applying ice to reduce pain and swelling
- Medications to relieve pain
Nonsurgical Treatment
If the pieces of bone are not out of place (displaced), a fracture can sometimes be treated with a splint to hold the elbow in place during healing. During the healing process, your doctor will take frequent X-rays to make sure the bone has not shifted out of place.You will typically wear a splint for 6 weeks before starting gentle motion. If the fracture shifts in position during this time, you may need surgery to put the bones back together.(Left) The doctor will apply a splint that runs from near your shoulder all the way to your hand. (Right) An elastic bandage is applied to help keep the splint in place.
Surgical Treatment
Surgery is usually required for olecranon fractures in which:- The bones have moved out of place (displaced fracture)
- Pieces of bone have punctured the skin (open fracture)
Surgical Procedures
Open reduction and internal fixation. This is the procedure most often used to treat olecranon fractures. During the procedure, the bone fragments are first repositioned (reduced) into their normal alignment. The pieces of bone are then held in place with screws, wires, pins, or metal plates attached to the outside of the bone.Some common methods of internal fixation are shown below.An olecranon fracture may be held together with pins and wires. This is called a tension band.(Left) Reproduced from Boyer MI, Galatz LM, Borrelli J, Axelrod TS, Ricci WM: Intra-articular fractures of the upper extremity: new concepts in surgical treatment, in Ferlic DC, ed: Instr Course Lect 52. Rosemont, IL, American Academy of Orthopaedic Surgeons, 2003, pp. 591-605.
Bone graft. If some of the bone has been lost through the wound or is crushed, the fracture may require bone graft to fill the gaps. Bone graft can be taken from a donor (allograft) or from another bone in your own body (autograft). In some cases, an artificial material can be used instead of bone graft.
Complications of Surgery
There are risks associated with any surgery. If your doctor recommends surgery, they think that the possible benefits outweigh the risks.
Potential complications include:
Elbow stiffness. One of the most common problems patients face after any fracture around the elbow is stiffness. It is very important to begin physical therapy as directed to avoid elbow stiffness. In most cases, the
Infection. There is a risk of infection with any surgery. Your doctor will take specific measures to help prevent infection.
Hardware irritation. A small percentage of patients may experience irritation from the metal implants used to repair the fracture.
Damage to nerves and blood vessels. There is a minor risk of damage to nerves and blood vessels around the elbow. This is an unusual side effect.
Nonunion. Sometimes, a fracture does not heal. The fracture may pull apart and the screws, plates, or wires may shift or break. This can occur for a number of reasons, including:
- The patient does not follow directions after surgery.
- The patient has a health problem, such as diabetes, that slows healing. Smoking or using other tobacco products also slows healing. Learn more: Smoking and Surgery
- If the fracture was associated with a cut in the skin (open fracture), healing is often slower.
- Infections can also slow or prevent healing.
If the fracture fails to heal, you may need further surgery.
Recovery
Pain Management
Most fractures hurt moderately for a few days to a couple of weeks. Many patients find that using ice, elevation (holding their arm up above their heart), and non-prescription pain medications are sufficient to relieve pain. If your pain is severe, your doctor may suggest a prescription-strength medication, such as an opioid, for a few days. Be aware that although opioids help relieve pain after surgery, opioid dependency and overdose have become critical public health issues. For this reason, opioids are typically prescribed for a short period of time. It is important to use opioids only as directed by your doctor and to stop taking them as soon as your pain begins to improve.Rehabilitation
Whether your treatment is surgical or nonsurgical, full recovery from an olecranon fracture requires a good effort at rehabilitation.Recovery After Nonsurgical Treatment
Because nonsurgical treatment can sometimes require long periods of splinting or casting, your elbow may become very stiff. For this reason, you may need a longer period of physical therapy to regain motion. During rehabilitation, your doctor or a physical therapist will provide you with exercises to help:- Improve range of motion
- Decrease stiffness
- Strengthen the muscles within the elbow
Recovery After Surgical Treatment
Depending on the complexity of the fracture and the stability of the repair, your elbow may be splinted or casted for a short period of time after surgery. Physical therapy. Patients will usually begin exercises to improve motion in the elbow and forearm shortly after surgery, sometimes as early as the next day. It is extremely important to perform the exercises as often as directed. The exercises will only make a difference if they are done regularly. Restrictions. You will not be allowed to lift heavy objects with your injured arm for at least 6 weeks. You will also be restricted from pushing and pulling activities, such as opening doors or pushing up while rising from a chair. You may be allowed to use your arm for bathing, dressing, and feeding activities. Your doctor will give you specific instructions. They will also let you know when it is safe to drive a car.Complications of Olecranon Fractures
Loss of Motion
In some cases, a patient may not be able to regain full motion in the affected elbow. In most of these cases, the patient cannot fully extend or straighten their arm. Fortunately, the loss of a few degrees of straightening does not usually affect the overall function of the arm. Patients who have significant loss of motion may require intensive physical therapy, special bracing, or further surgery. This is uncommon for olecranon fractures.Posttraumatic Arthritis
Posttraumatic arthritis is a type of arthritis that develops in a joint after an injury. Even when your bones heal normally, the cartilage lining the joint surfaces can be damaged, leading to pain and stiffness over time. Posttraumatic arthritis is a relatively common complication of olecranon fractures. It can occur shortly after the fracture occurs or can take years to develop. Some patients with posttraumatic arthritis may need further surgery to relieve their symptoms. However, for many patients, there is little pain and no need for further treatment.Outcomes
Most patients can return to their normal activities within about 4 months, although full healing can take more than a year. Recovering strength in your arm often takes longer than might be expected.
Although X-rays may show that the fracture has healed completely, some patients report that they still have limitations in movement. These patients will usually continue to improve over time.
Questions to Ask Your Doctor
If you experience an olecranon fracture, here are some questions you may wish to ask your doctor:
- When can I start moving my elbow?
- How soon can I resume my normal activities?
- What factors will prolong or delay healing?
- If I have to have surgery, what are the benefits and risks?
- What will my recovery be like?


