A periprosthetic fracture refers to a bone break occurring around or near an orthopedic implant. This article delves into the specifics of fractures that happen after total hip replacement surgery, a rare but serious complication. You can also explore related topics, such as fractures following total knee replacement.
These fractures can occur at various stages:
- During the hip replacement procedure itself (though this is less common).
- Shortly after surgery, typically within the first few weeks.
- Many years later, following a period of normal implant function.
Despite their rarity, periprosthetic fractures require immediate medical attention. They often necessitate surgical intervention and pose significant treatment challenges, particularly for older patients who may have osteoporosis or other underlying health issues.
Description
Periprosthetic fractures most commonly occur around the stem of the metal implant placed within the femur. In contrast, fractures involving the hip socket (acetabulum) are less frequent.
The severity of these fractures depends on two critical factors:
- Bone quality and strength surrounding the implant.
- The force of the injury, which determines the extent of the damage.

Most fractures occur in the femur near the implant stem.
The bone around the implant stem can break in many different ways.
Causes
Periprosthetic femur fractures are typically caused by falls, though high-energy impacts such as motor vehicle accidents or direct blows to the hip can also lead to these injuries.
Several factors can increase the risk of developing a periprosthetic hip fracture, including:
- Fall-related risk factors like muscle weakness, impaired vision, or poor balance.
- Bone-weakening conditions such as osteoporosis, which compromise bone strength.
- A loosened femoral stem, one of the most significant risk factors. Over time, everyday activities can cause the femoral stem to loosen. This loosening can also result from osteolysis (bone thinning) or a prosthesis-related infection.
Symptoms
The primary symptoms of a periprosthetic hip fracture include:
- Intense pain around the hip or thigh.
- Noticeable swelling and bruising in the affected area.
- Difficulty or inability to bear weight on the injured leg.
- A shortened or visibly deformed leg.
Doctor Examination
Due to the severe pain associated with periprosthetic hip fractures, most individuals seek immediate medical attention and are admitted to the emergency room.
In the emergency room, both an ER physician and an orthopedic surgeon typically collaborate to evaluate the injury. The hip will be thoroughly examined, and the lower leg will be assessed for proper blood circulation. Additionally, the main nerves around the hip joint, such as the sciatic and femoral nerves, will be checked to ensure they are functioning correctly.
Tests
- Imaging tests:
- X-rays are used to determine the fracture’s pattern, bone quality, the number of fragments, and any displacement (gaps between bone pieces).
- In more complex cases, a CT scan may be ordered to create detailed, three-dimensional images of the bone structure.
- Laboratory tests:
- Bloodwork and other lab tests are typically conducted after hospital admission. These tests provide essential insights into your overall health and help prepare for surgery.
Injury Stabilization
Weight-bearing on the injured leg will not be permitted. Your doctor may use a traction device on your foot to keep the leg aligned and prevent further damage.
Treatment
Surgery is required in most cases of periprosthetic hip fractures.
To determine the appropriate surgical approach, the following factors are considered:
- The type and precise location of the fracture.
- The quality of the surrounding bone.
- Whether the implant in the femur remains securely fixed.
- Your overall health condition.
Patients may need to remain hospitalized for several days before surgery to undergo medical stabilization. This ensures that potential surgical risks are minimized with clearance from a team of healthcare professionals.
Surgical Treatment Options
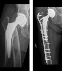
- Open Reduction and Internal Fixation (ORIF):
If the implant remains firmly anchored in the femur, ORIF may be recommended. During this procedure:- Bone fragments are realigned (reduced) to their natural position.
- Special screws, cables, or metal plates are used to secure the bone externally.
- In some instances, bone grafting may be performed to support healing. Most often, allograft bone (donor bone that has been sterilized) is used to reinforce weakened areas.
- Revision Surgery:
If the implant is loose, it may be necessary to replace some or all components of the hip replacement. - Combined Approach:
In certain cases, both revision surgery and internal fixation may be required to achieve optimal outcomes.
Patients undergoing surgery for periprosthetic hip fractures often require a tailored approach to ensure proper recovery and long-term success.
Revision Surgery for Periprosthetic Hip Fractures
In some instances of periprosthetic hip fractures, the implant stem becomes loose. When this occurs, the existing implant must be removed and replaced with a new one in a procedure known as revision total hip replacement.
This type of surgery often requires specialized implant components. The replacement implant typically features a longer stem to provide additional stability. In certain cases, a bone graft using cadaver bone (allograft) may be utilized to strengthen or replace areas of weakened or missing bone, ensuring proper structural support for the new implant.
Your Surgery Experience
Once you are admitted to the hospital, your surgery will be scheduled as soon as you are medically stable and ready.
Anesthesia
Before surgery, an anesthesiologist will evaluate you to determine the best anesthesia option. Most surgeries to treat periprosthetic hip fractures are performed under general anesthesia, meaning you will be fully asleep. You, your anesthesiologist, and your surgeon will discuss the most suitable option for your needs.
Surgical Procedure
Repairing a fracture around a total hip replacement is a complex procedure. Challenges such as poor bone quality, multiple bone fragments (fracture comminution), and the presence of bone cement can increase the difficulty of the surgery. These factors often make the operation lengthy, with many procedures lasting over three hours.
After the surgery, you will be taken to a recovery room, where your condition will be closely monitored as you wake from anesthesia. Once you are stable, you will be moved to your hospital room.
Recovery in the Hospital
Typically, patients remain in the hospital for a few days following surgery.
- Infection prevention: You will likely receive intravenous (IV) antibiotics to reduce the risk of infection.
- Blood clot prevention: Your doctor will prescribe blood-thinning medication to help prevent deep vein thrombosis (DVT).
Pain Management
Pain after surgery is expected as part of the natural healing process. Your healthcare team will focus on managing your pain to support a faster recovery.
- Medications for pain relief may include non-steroidal anti-inflammatory drugs (NSAIDs), opioids, and local anesthetics. A combination of these options is often used to minimize the reliance on opioids.
- Since opioids are narcotics with a risk of addiction, they should only be taken as prescribed and discontinued as soon as your pain begins to improve. If your pain persists beyond a few days, consult your doctor for guidance.
Rehabilitation and Recovery
Physical therapy typically begins soon after surgery. Your surgeon will determine how much weight you can place on your healing leg, and a physical therapist will help you learn to use assistive devices like walkers safely.
- You may need a hip brace for added protection while the fracture heals.
- Both physical and occupational therapists will guide you in regaining mobility and following hip precautions.
Rebuilding strength and restoring the ability to walk may take several months. After your hospital stay, you may spend time in a skilled nursing facility or rehabilitation center to further improve your strength and overall health.
Potential Complications
While most surgeries are successful, complications can occur. The most common include:
- Infection
- Blood clots
- Dislocation of the hip
- Limb length discrepancies
- Poor fracture healing
- Repeat fractures
- Failure of the new stem to integrate with the femur bone
- Injury to surrounding nerves or blood vessels
Additional Surgery
In some cases, complications may require a follow-up operation. It is crucial to discuss the potential risks and benefits of surgery with your orthopedic surgeon before proceeding.
With proper care, many patients achieve successful outcomes and regain mobility after surgery for periprosthetic hip fractures.








