Overview:
Fracture-dislocations of the shoulder are rare but serious injuries that can lead to long-term disability if not treated promptly and correctly. These injuries require immediate intervention, especially in cases involving displaced or complex fractures.
What are Fracture-Dislocations of the Shoulder?
These injuries involve both a fracture of the shoulder bones and a dislocation of the shoulder joint.
Causes of Fracture-Dislocations:
- High-Energy Trauma: Car accidents, falls, or sports injuries.
- Direct Blows: Heavy impact to the shoulder.
Symptoms:
- Pain: Severe pain at the shoulder.
- Swelling and Deformity: Visible swelling and deformity.
- Limited Movement: Difficulty moving the arm.
Diagnosing Fracture-Dislocations:
- Physical Examination: Checking for pain, swelling, deformity, and nerve injuries.
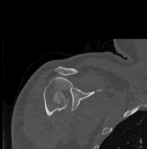
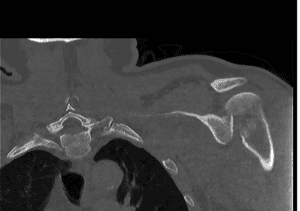
- Imaging:
- X-rays: Standard views to assess the fracture and dislocation.
- CT Scans: For detailed images.
- CT Angiography: Useful for identifying vascular structures in certain fracturepatterns.
Types of Fracture-Dislocations:
- Neer Classification: Based on the number and location of fracture fragments.
- Edelson Classification: Another system used for categorizing these injuries.
Treatment Options:
- Non-Surgical Management:
- Limited to patients with significant comorbidities and limited baseline mobility.
- Immobilization: Using a sling.
- Surgical Management:
- Needed for most cases to ensure proper alignment and healing.
- Closed Reduction: Gentle techniques to realign the shoulder without surgery.
- ORIF (Open Reduction and Internal Fixation): Aligning and fixing the bones with plates and screws.
- Arthroplasty: Joint replacement surgery for severe fractures.
Post-Operative Rehabilitation:
- Early Exercises: Gentle movements to prevent stiffness.
- Gradual Progression: Moving to more active exercises and strengthening routines as healing progresses.
Possible Complications:
- Infection: Risk after surgery.
- Bleeding: Risk of bleeding during or after surgery.
- Non-Union: Bone fails to heal.
- Malunion: Bone heals incorrectly.
- Nerve Injury: Potential nerve damage.
- Ongoing Instability: Recurrent dislocations.
- Need for Revision Surgery: Additional surgeries to correct issues.
Lessons Learned:
- Accurate diagnosis and imaging are essential.
- Conservative management is viable for a select group of patients.
- Surgery is often required for proper alignment and healing.
- Proper patient selection and tailored rehabilitation programs are essential for optimal outcomes.
- Understanding the injury helps in choosing the right treatment strategy.









