Bunion Surgery: Procedures Recovery and What to Expect

Overview of Bunion Surgery
For many individuals with bunions, simple measures such as wearing wider shoes or using shoe pads can effectively reduce pressure on the big toe and provide pain relief. However, when these conservative treatments fail to alleviate symptoms, your doctor may recommend bunion surgery. Bunion surgery aims to correct the misalignment of the big toe by realigning the affected bones. There are several surgical techniques available, and the choice of procedure depends on the severity of the bunion and your specific needs.Are You a Candidate for Bunion Surgery?
If your bunion is not causing pain, surgery is typically unnecessary. Although bunions can gradually worsen over time, doctors do not recommend surgery solely to prevent progression. Many individuals can effectively manage bunion growth with proper footwear and preventive care, often avoiding pain or complications altogether. It’s essential to understand that bunion surgery should not be performed for cosmetic reasons. In some cases, persistent pain can develop after surgery, even if there was no pain prior to the procedure.Who is a Good Candidate for Bunion Surgery?
You may be a suitable candidate for bunion surgery if you experience:- Significant Foot Pain: Pain that limits daily activities such as walking or wearing standard, comfortable shoes. Even walking short distances in athletic shoes may cause significant discomfort.
- Chronic Inflammation and Swelling: Persistent big toe inflammation that does not respond to rest or medication.
- Toe Deformity: Noticeable drifting of the big toe toward the smaller toes, sometimes causing the toes to overlap or cross.
- Toe Stiffness: Difficulty bending or straightening the big toe.
- Failure of Non-Surgical Treatments:
- No pain relief from changes in footwear.
- Minimal effectiveness of nonsteroidal anti-inflammatory drugs (NSAIDs) like ibuprofen or naproxen, which vary in effectiveness for toe pain management.
Deciding to Have Bunion Surgery
As you explore bunion surgery, be aware that so-called "simple" or "minimal" surgical procedures are often quick fixes that can do more harm than good. Although many bunion procedures are performed on a same-day basis with no hospital stay, a long recovery period is common. It often takes up to 6 months for full recovery, and follow-up visits with your doctor are sometimes needed for up to a year.
It is very important to have realistic expectations about bunion surgery. For example, bunion surgery may not allow you to wear a smaller shoe size or narrow, pointed shoes. In fact, you may need to restrict the types of shoes you wear for the rest of your life.As you consider bunion surgery, do not hesitate to ask your doctor questions about the operation and your recovery. Some examples of helpful questions to ask include:
- What are the benefits and risks of this surgery?
- What are the possible complications, and how likely are they to occur?
- How much pain will there be, and how will it be managed?
- What activity restrictions will I likely have after surgery, and for how long? How soon will I be able to drive?
Surgical Procedures
- Realigning the metatarsophalangeal (MTP) joint at the base of the big toe
- Relieving pain
- Correcting the deformity of the bones that make up the toe and foot
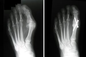
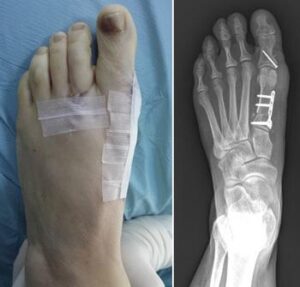
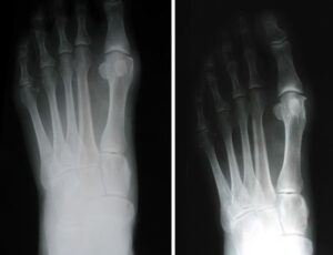
Because bunions vary in shape and size, there are different surgical procedures performed to correct them. In most cases, bunion surgery includes correcting the alignment of the bone by cutting and shifting the bones. This will most likely require the placement of surgical hardware (plates and screws) as well as repairing the soft tissues around the big toe. Your doctor will talk with you about the type of surgery that will best correct your bunion.
Repairing the Tendons and Ligaments Around the Big Toe
Surgery can shorten the loose tissues and lengthen the tight ones. This is rarely done without some type of alignment of the bone, called an osteotomy. In most cases, soft tissue correction is just one portion of the entire bunion corrective procedure.

Osteotomy for Bunion Correction
An osteotomy is a surgical procedure in which your doctor makes precise cuts in the bones to realign the joint and correct the bunion deformity. After cutting the bone, the newly adjusted position is stabilized using pins, screws, or plates. This realignment ensures the bones are straighter and the joint is properly balanced.How Osteotomy Works
- Bone Realignment: Osteotomies can be performed at different points along the bone, depending on the severity and location of the deformity.
- Bone Wedge Removal: In some cases, a small wedge of bone may be removed to provide additional correction and straighten the toe effectively.
Combination with Soft Tissue Procedures
Osteotomies are often combined with soft tissue procedures to achieve long-term alignment of the big toe. Both techniques work together to ensure proper joint balance and prevent the deformity from recurring. This approach allows for a more comprehensive correction, improving foot function and alleviating pain caused by the bunion.
Arthrodesis
In this procedure, which is also called a fusion, your doctor removes the arthritic joint surfaces, then inserts screws, wires, or plates to hold the surfaces together until the bones heal.Arthrodesis is commonly used for patients who have severe bunions and/or severe arthritis, and for patients who have had previous unsuccessful bunion surgery.


Exostectomy
In this procedure, your doctor removes the bump from your toe joint. Exostectomy alone is rarely used to treat bunions because it does not realign the joint. Even when combined with soft tissue procedures, exostectomy rarely corrects the cause of the bunion.Exostectomy is most often performed as one part of an entire corrective surgery that includes osteotomy, as well as soft-tissue procedures. If a doctor performs exostectomy without osteotomy, however, the bunion deformity often returns.

Minimally Invasive Bunion Surgery
Some bunion surgeries are called “minimally invasive.” In these procedures, the surgeon uses small holes to make cuts in the bone, align the bone, and place screws to hold the bone in position.The goal of this type of surgery is to decrease the healing time and scarring associated with bunion surgery. In some places, this approach has become popular. However, minimally invasive bunion surgery has not been widely accepted, and more long-term research is needed before most foot and ankle surgeons will be willing to adopt this technique.
Preparing for Surgery
Medical Evaluation
Before your surgery, you may be asked to visit your family doctor for a complete physical examination. They will assess your health and identify any problems that could interfere with your surgery.If you have a heart or lung condition or a chronic illness you will need to get medical clearance from your family doctor or specialist (e.g., cardiologist, pulmonologist) before your procedure.
Medications
Tell your doctor about any medications you are taking. They will tell you which medications you can continue taking and which you should stop taking before surgery.Tests
You may require several preoperative tests, including blood counts, an echocardiogram, and a chest X-ray. You may also need to provide a urine sample.To help plan your procedure, your doctor may order special foot X-rays. These X-rays should be taken in a standing, weightbearing position to ensure your doctor can clearly see the deformity in the foot. These special X-rays assist your doctor in making decisions about where along the bone to perform an osteotomy to provide enough corrective power to straighten the toe.
Your Surgery
- How severe your bunion is
- Your age
- Your general health
- Your activity level
- Any other medical issues that may affect your recovery
Almost all bunion surgery is done on an outpatient basis (same-day surgery). You will most likely be asked to arrive at the hospital or surgical center 1 or 2 hours before your surgery.
Procedure
Depending on your bunion and the procedures you need, your doctor will make an incision along the inside of your big toe joint or on top of the joint. In some cases, more than one incision is needed to correct the bunion deformity.
The surgical time depends on how much of your foot is malaligned. Surgery will take longer if your deformity is greater or if more than one osteotomy is required. Every bunion correction is a little bit different, and there is no reason to be concerned if your surgery takes more time.
Afterward, you will be moved to the recovery room. You will be ready to go home in 1 to 2 hours. Be sure to have someone with you to drive you home.
Complications
As with any surgical procedure, there are risks associated with bunion surgery. These rarely and are usually treatable — although, in some cases, they may limit or delay your full recovery. Before your surgery, your doctor will discuss each of the risks with you and take specific measures to avoid complications.The possible risks and complications of bunion surgery include:
- Infection
- Nerve injury
- Failure to relieve pain
- Failure of the bone to fully heal
- Stiffness of the big toe joint
- Recurrence of the bunion
Recovery at Home
You will see your doctor regularly for several months — occasionally up to 1 year — to make sure your foot heals properly.
Dressing Care
You will be discharged from the hospital with bandages holding your toe in its corrected position. Because keeping your toe in position is essential for successful healing, it is very important to follow your doctor's directions about dressing care. Do not disturb or change the dressing without talking to your doctor. Interfering with proper healing could cause the bunion to come back.
Reproduced from Hirose CB, Coughlin MJ: Proximal and Distal First Metatarsal Osteotomies for Hallux Valgus, in Flatow E, Colvin AC, eds: Atlas of Essential Orthopaedic Procedures. Rosemont, IL, American Academy of Orthopaedic Surgeons, 2013, pp 535-539.
Your sutures (stitches) will be removed about 2 weeks after surgery, but your foot will require continued support from dressings or a brace for 6 to 12 weeks.
Medications
Your doctor will prescribe pain medication to relieve surgical discomfort. The most effective post-surgical pain medications are opioids. However, these medications are narcotics and can be addictive. It is important to use opioids only as directed by your doctor and to stop taking them as soon as your pain begins to improve. Talk to your doctor if your pain has not begun to improve within a few days of your surgery.Swelling
Keep your foot elevated as much as possible for the first few days after surgery, and apply ice as recommended by your doctor to relieve swelling and pain. Never apply ice directly on your skin. It is common to have some swelling in your foot from 6 months to 1 year after bunion surgery.Weightbearing
Your doctor will give you strict instructions about whether and when you can put weight on your foot. Depending on the type of procedure you have, if you put weight on your foot too early or without proper support, the bones can shift, and the bunion correction will be lost or the bones may not heal.Some bunion procedures allow you to walk on your foot right after the surgery. In these cases, patients must use a special surgical shoe to protect the bunion correction.
Many bunion surgeries require a period of no weightbearing to ensure bone healing. Your doctor will apply dressings, a brace, or a cast to maintain the correct bone position. Crutches are usually used to avoid putting any weight on the foot. A knee walker is a good alternative to crutches. It has four wheels and functions like a scooter. Instead of standing, you place the knee of your affected foot on a padded cushion and push yourself along using your healthy foot.It is helpful to test and assess your post-surgical weightbearing plan prior to the day of surgery.
In addition to no weightbearing, driving may be restricted until the bones have healed properly — especially if the surgery was performed on your right foot. No matter which type of bunion surgery you have, it is very important to follow your doctor's instructions about weightbearing. Do not put weight on your foot or stop using supportive devices until your doctor gives approval.Physical Therapy and Exercise
Specific exercises will help restore your foot's strength and range of motion after surgery.Always start these exercises slowly and follow instructions from your doctor or physical therapist regarding repetitions.
Avoiding Complications
Though uncommon, complications can occur following bunion surgery. During your recovery at home, contact your doctor if:- Your dressing loosens, comes off, or gets wet.
- Your dressing is moistened with blood or drainage.
- You develop side effects from postoperative medications.
Also, call your doctor immediately if you notice any of the following warning signs of infection:
- Persistent fever
- Shaking chills
- Persistent warmth or redness around the dressing
- Increased or persistent pain, especially a "sunburn" type pain
- Significant swelling in the calf above the treated foot, especially if there is a "charley horse" pain behind the knee, or if you develop shortness of breath.
Outcomes
Because a main cause of bunion deformity is a tight-fitting shoe, returning to that type of shoe can cause your bunion to return. Always follow your doctor's recommendations for proper shoe fit.


